
ഡെന്മാർക്കിലെ നാഷണൽ റജിസ്ട്രിയിൽ സ്റ്റോർ ചെയ്ത ഡാനിഷ് പൗരരെക്കുറിച്ചുള്ള വിവരങ്ങൾ അവരുടെ വ്യക്തിഗത സമ്മതമില്ലാതെ പഠനങ്ങൾക്കായി ഉപയോഗിച്ചു എന്നതായിരുന്നുവല്ലോ അവിടത്തെ പ്രശ്നം? ആ വിവരങ്ങൾ ഉപയോഗിച്ച് ഗവേഷകർ ധാരാളം പി.എച്ച്.ഡി തീസിസുകളും പ്രബന്ധങ്ങളും പ്രസിദ്ധീകരിച്ച് വ്യക്തിഗത നേട്ടങ്ങളുണ്ടാക്കി എന്ന കാര്യത്തിൽ സംശയമില്ല. ഒരാളുടെ സമ്മതമില്ലാതെ അയാളുടെ വ്യക്തിപരമായ വിവരങ്ങൾ ഉപയോഗിക്കാൻ പാടില്ല എന്നത് സർവപ്രധാനം തന്നെ.
എന്നാൽ ഒരാളുടെ സമ്മതമില്ലാതെ ആ വ്യക്തിയുടെ കോശങ്ങളോ, ശരീരഭാഗങ്ങളോ വിൽക്കുന്നതോ? ഇന്നത്തെ നിയമങ്ങൾവെച്ച് നമുക്കത് ക്രിമിനൽ കുറ്റമായി തോന്നാം. എങ്കിലും ചില പ്രത്യേക സാഹചര്യങ്ങളിൽ അത് കുറ്റകരമല്ലെന്ന് നീതിന്യായ കോടതികൾ തന്നെ പറഞ്ഞാൽ സാധാരണക്കാർ എന്തുചെയ്യും? അത്തരം വ്യക്തികൾ ദരിദ്രരും അങ്ങേയറ്റം പാർശ്വവൽക്കരിക്കപ്പെട്ടവരുമാണെങ്കിൽ അവരുടെ സ്ഥിതി എന്തായിരിക്കും? ഇന്ത്യയിലും കോടിക്കണക്കിന് വരുന്ന വിദ്യാഭ്യാസപരമായും സാമ്പത്തികമായും മത-പരമായും ജാതീയമായും പാർശ്വവൽക്കരിക്കപ്പെട്ടവർക്കും ഇത് സംഭവിച്ചേക്കാം എന്നതാണ് ഈ ലേഖനത്തിൽ പ്രതിപാദിക്കുന്ന സംഭവങ്ങളിൽ കാണുന്ന ഗുരുതര പ്രശനം.
ഹെൻറീറ്റ ലാക്സ് കേസ് ഒത്തുതീർപ്പ്
25 വർഷങ്ങൾക്ക് മുൻപ് എറീക്ക ജോൺസൺ എന്ന വിദ്യാർത്ഥി അവളുടെ ബയോളജി ലാബിൽ പരീക്ഷണങ്ങളിൽ ഏർപ്പെട്ടിരിക്കുകയായിരുന്നു. എല്ലാവരുടെ കയ്യിലും ഒരു ടെസ്റ്റ്-ട്യൂബും അതിൽ ദ്രാവകവും കുറെ കോശങ്ങളുമുണ്ട്. അധ്യാപകൻ ആ കോശങ്ങൾ ഹേലാ കോശങ്ങളാണെന്നും അവ ദശകങ്ങൾക്ക് മുൻപ് ഹെൻറീറ്റ ലാക്സ് എന്ന സ്ത്രീയിൽ നിന്നും ഉത്ഭവിച്ചതാണെന്നും പറഞ്ഞപ്പോൾ എറീക്ക ഞെട്ടിത്തരിച്ചുപോയി. “എന്റെ കയ്യിൽ ഞാൻ പിടിച്ചിരിക്കുന്നത് എന്റെ വല്യമുത്തശ്ശി (great grandmother) യെയാണ്!’ അവൾ ആൽമഗതം ചെയ്തു. അമേരിക്കൻ സ്കൂളുകളിൽ മാത്രമല്ല, ലോകമെമ്പാടും എറീക്കയുടെ വല്യമുത്തശ്ശിയുടെ കോശങ്ങളാണ് പരീക്ഷണത്തിനായി ഉപയോഗിക്കുന്നത്.
2023ൽ മെഡിസിൻ, അക്കാദമിക്, ആരോഗ്യ മേഖലകളിൽ വളരെ ചർച്ച ചെയ്യപ്പെട്ട ഒരു പ്രധാന ലോകവാർത്തയായിരുന്നു 1951 ൽ അന്തരിച്ച ഹെൻറീറ്റ ലാക്സ് എന്ന സ്ത്രീയുടെ ജീവിച്ചിരിപ്പുള്ള ഏക മകനും കൊച്ചുമക്കളും തെർമോ ഫിഷർ സയന്റിഫിക് എന്ന അന്താരഷ്ട്ര ഭീമൻ ബയോടെക് കമ്പനിയുമായി കോടതിയിൽ ഒത്തുതീർപ്പായത്. ഒത്തുതീർപ്പിന്റെ വിശദാംശങ്ങളൊന്നും ഇപ്പോഴും പുറത്തുവിട്ടിട്ടില്ലെങ്കിലും ഹെൻറീറ്റയുടെ മകനും പേരമക്കൾക്കും നല്ലൊരു തുക നഷ്ടപരിഹാരമായി നൽകാമെന്ന്, തെർമോ ഫിഷർ സയന്റിഫിക് കമ്പനി കോടതി മുമ്പാകെ സമ്മതിച്ചതായി അറിയുന്നു. എഴുപത്തിമൂന്നു വർഷം മുൻപ് (1951) നടന്ന ഒരു പ്രശ്നത്തിനാണ് ഇപ്പോൾ ഭാഗികമായെങ്കിലും പരിഹാരമായിരിക്കുന്നത്.
ആരാണ് ഹെൻറീറ്റ ലാക്സ്?
അമേരിക്കയിലെ വെർജീനിയ സംസ്ഥാനത്ത് 1920 ആഗസ്ത് 1ന് ജനിച്ച ഒരു ആഫ്രോ-‐അമേരിക്കൻ പെൺകുട്ടിയായിരുന്നു ഹെൻറീറ്റ ലാക്സ്. പുകയില കൃഷിക്കാരുടെ കുടുംബമായിരുന്നു അവരുടേതെങ്കിലും ദാരിദ്ര്യവും അക്കാലത്തെ അമേരിക്കയിൽ നിലനിന്നിരുന്ന കടുത്ത വർണ വെറിയും കാരണം അവരുടെ ജീവിത നിലവാരം കുടിയാന്മാരെക്കാളും കഷ്ടമായിരുന്നു.
മരപ്പലകകൾ ചേർത്തുണ്ടാക്കിയ ഒരു ക്യാബിനിലാ (Cabin or Shack)ണ് ആ കുട്ടി ബാല്യത്തിന്റെ നല്ലൊരു ഭാഗവും ചെലവഴിച്ചത്. 1941ൽ, തന്റെ 21‐ാം വയസ്സിൽ ഭർത്താവിനോടും കുട്ടികളോടുമൊപ്പം ഒരു നല്ല ജീവിതം തേടി അവർ വ്യവസായങ്ങളുള്ള ബാൾട്ടിമൂറിലേക്ക് മാറി താമസിച്ചു. ബാൾട്ടിമൂറിൽ അവരുടെ ബന്ധുക്കൾ പലരുമുണ്ടായിരുന്നു.
ഏകദേശം 30 വയസ്സുള്ളപ്പോഴാണ് അവർ, തനിക്ക്, ഇടയ്ക്കിടെ ഗർഭാശയത്തിൽ നിന്നും രക്തസ്രാവം ഉണ്ടാവുന്നുണ്ടെന്നും അത് മാസമുറ അല്ലെന്നും മനസ്സിലാക്കുന്നത്. തുടർന്ന് നടത്തിയ സ്വയം പരിശോധനയിലാണ് അവർ തന്റെ ഗർഭാശയ മുഖത്ത് (cervix) ഒരു മുഴ കണ്ടെത്തുന്നത്. ജീവിത പ്രാരബ്ധങ്ങളിൽ പിന്നെയും കുറേ മാസങ്ങൾ കടന്നുപോയി. വേദന അസഹനീയമായപ്പോഴാണ് തന്റെ ഭർത്താവ് ഡേവിഡിനോടോപ്പം ആദ്യം ലോക്കൽ ഡോക്ടറെ കാണുന്നതും അദ്ദേഹത്തിന്റെ നിർദേശപ്രകാരം ബാൾട്ടിമൂറിൽ വെളുത്തവർക്കൊപ്പം കറുത്ത വർഗക്കാരെയും ചികിത്സിക്കുന്ന ജോൺ ഹോപ്കിൻസ് ആസ്പത്രിയിൽ (John Hopkins Hospital) കൂടുതൽ പരിശോധനക്കായും എത്തുന്നത്.
തങ്ങളുടെ താമസസ്ഥലത്ത് നിന്ന് 20 ലധികം നാഴികകൾ (32 കിലോമിറ്റർ) ദൂരെയുള്ള ജോൺ ഹോപ്കിൻസ് ആശുപത്രിയിൽ വരാനുള്ള കാരണം പോലും ദുഖകരമാണ്. ആ ആശുപത്രി മാത്രമാണ് വെളുത്തവർക്കൊപ്പം പാവപ്പെട്ടവർക്കും കറുത്തവർഗക്കാർക്കും ചികിത്സ നൽകിയിരുന്നത്. പക്ഷേ അവിടെയും കട്ടിലും കിടക്കയും വാർഡും കക്കൂസുകളും എന്തിനേറെ, കുടിവെള്ള ടാപ്പുകൾ പോലും വെളുത്തവർക്കും കറുത്തവർക്കും വേറെ വേറെയാണ്. (ഇത് ജനാധിപത്യത്തിന്റെയും സ്വാതന്ത്ര്യത്തിന്റെയും പറുദീസ എന്നവകാശപ്പെടുന്ന അമേരിക്കയിലെ 1950ലെ സ്ഥിതിയാണെന്നോർമ്മിക്കുക).

നിരന്തരമായ രക്തസ്രാവം എന്ന പ്രശ്നവുമായി, 1951 ജനുവരി 29ന് ചികിത്സയ്ക്കെത്തിയ ഹെൻറീറ്റയെ പരിശോധിച്ചത് ഡോക്ടർ ഹൊവാഡ് ജോൺസായിരുന്നു. ആന്തരീക പരിശോധനയിൽ ഹെൻറീറ്റ പറഞ്ഞ മുഴ ജോൺസ് പെട്ടന്നുതന്നെ കണ്ടെത്തി, പക്ഷേ അതയാളെ അത്ഭുതപ്പെടുത്തി. തന്റെ മെഡിക്കൽ ജീവിതത്തിൽ അയാൾ ആയിരക്കണക്കിന് സെർവിക്കൽ ട്യൂമറുകൾ കണ്ടിട്ടുണ്ട്. എന്നാലിത് വ്യത്യസ്തമായിരുന്നു; ഒരു മുന്തിരിങ്ങ പോലെ തിളങ്ങുന്ന കടും വയലറ്റ് നിറത്തിലുള്ള, തൊട്ടാൽ രക്തം ഒഴുകുന്ന ഒരു ട്യൂമർ. എല്ലാ കേസിലും പോലെ അന്നും അയാൾ അതിന്റെ ഒരു ഭാഗം മുറിച്ചെടുത്ത് ജോൺ ഹോപ്കിൻസ് ആശുപത്രിയിൽ തന്നെയുള്ള ജോർജ് ഗായ് എന്ന ജീവശാസ്ത്രജ്ഞന്റെ കീഴിലുള്ള ബയോപ്സി ലബോറട്ടറിയിലേക്ക് അയച്ചു. അങ്ങനെയാണ് ഹെൻറീറ്റയുടെ ട്യൂമർ കോശങ്ങൾ ജോർജ് ഗായുടെ കയ്യിൽ എത്തിച്ചേരുന്നത്.
ജോൺ ഹോപ്കിൻസിൽ ആദ്യമായി വന്നതിന് എട്ടുമാസങ്ങൾക്ക് ശേഷം 1951 ഒക്ടോബർ 4ന് ഹെൻറീറ്റ ലാക്സ് ആശുപത്രിയിൽ വെച്ച് മരിച്ചു. അവർക്ക് 31 വയസ്സ് മാത്രമേ ആയിരുന്നുള്ളൂ.
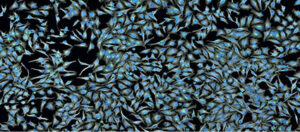
പക്ഷേ ഹെൻറീറ്റ ലാക്സ് എന്ന വ്യക്തി മാത്രമേ മരിച്ചുള്ളൂ, അവരുടെ കാൻസർ ബാധിതവും അല്ലാത്തതുമായ കോശങ്ങൾ ലോകമെങ്ങുമുള്ള ലാബറട്ടറികളിൽ ഇപ്പോഴും ജീവിക്കുന്നു അനശ്വരമായി. ഇന്ത്യയിലെയും കേരളത്തിലെയും ചില ലാബുകളിൽ പോലും ഹേലാ കോശങ്ങൾ (HeLa cells) എന്നറിയപ്പെടുന്ന ഇവ ഉണ്ടെന്നാണ് അറിയാൻ കഴിഞ്ഞത്. അതെന്തായാലും ലോകമെങ്ങുമുള്ള ലാേബോറട്ടറികളിലും എന്തിനേറെ, ബഹിരാകാശത്ത് പോലും ഹേലാ കോശങ്ങളെത്തിയിട്ടുണ്ട്. അഞ്ചുവർഷം മുൻപ് കോവിഡ് മഹാമാരി സംഭവിച്ചപ്പോൾ അതിനെതിരെയുള്ള വാക്സിൻ നിർമാണത്തിൽ പ്രധാന പങ്കുവഹിച്ചത് ഹേലാ കോശങ്ങളാണ്. അതിനുമുൻപ് എയിഡ്സ്, പോളിയോ എന്നീ രോഗങ്ങൾക്ക് എതിരെയുള്ള മരുന്നുകൾ കണ്ടെത്തുന്നതിലും ഹേലാ കോശങ്ങൾ പ്രധാന പങ്കുവഹിച്ചിട്ടുണ്ട്. ഹ്യൂമൻ പാപ്പിലോ വൈറസ്സ് (HPV) എങ്ങനെ സെർവിക്കൽ ക്യാൻസറിന് കാരണമാവുന്നു എന്നും കണ്ടെത്തി, എച്ച്.പി.വി. വാക്സിൻ കണ്ടുപിടിച്ചതിന് ഹറാൾഡ് സുർ ഹൗസൻ എന്ന ജർമൻ വൈറോളജിസറ്റിന് നോബൽ പുരസ്കാരം നേടാൻ സഹായിച്ചതും ഹേലാ കോശങ്ങൾ തന്നെ.
ഇങ്ങനെ ലോകമെങ്ങും ഗവേഷണത്തിനായി ഹേലാ കോശങ്ങൾ വിറ്റഴിച്ച് പല വൻ കമ്പനികളും സഹസ്രകോടീശ്വരന്മാരായപ്പോഴും ഹെൻറീറ്റയുടെ മക്കളും കൊച്ചുമക്കളും നിത്യ ദാരിദ്ര്യത്തിൽ കറുത്ത വർഗക്കാർ മാത്രം താമസിക്കുന്ന ഗെറ്റോകളിൽ കഴിയുകയായിരുന്നു.
ജോൺ ഹോപ്കിൻസ് ആശുപത്രിയിലെ ജോർജ് ഗായുടെ ബയോപ്സി ലബോറട്ടറിയിൽ നിന്നും ഹെൻറീറ്റയുടെ കോശങ്ങൾ എങ്ങനെ ലോകമെമ്പാടും എത്തിച്ചേർന്നു? അതെങ്ങനെ തെർമോ ഫിഷർ എന്ന ഭീമൻ കോർപ്പറേറ്റ് ഒരു കച്ചവടച്ചരക്കായി വിറ്റഴിച്ച് കോടികൾ കൊയ്തെടുത്തു ? അതിനെക്കുറിച്ചാണ് ഇനി പറയാൻ പോകുന്നത്.
കോശങ്ങൾ വളർത്താനുള്ള ശ്രമങ്ങൾ
എട്ട് മാസക്കാലം, ഹെൻറീറ്റ ലാക്സ്, ജോൺ ഹോപ്കിൻസ് ആശുപത്രിയിൽ റേഡിയേഷൻ ചികിത്സക്കായി വന്നുകൊണ്ടിരുന്ന കാലത്തുതന്നെ അവരുടെ കോശങ്ങൾ അതേ ആശുപത്രിയിൽ ജോർജ് ഗായുടെ ലാബിൽ പരീക്ഷിക്കപ്പെടുന്നുണ്ടായിരുന്നു. എല്ലാ മെഡിക്കൽ പരീക്ഷണങ്ങൾക്കും മനുഷ്യരെ കിട്ടുകയില്ല എന്നതിനാൽ ജീവശാസ്ത്ര/മെഡിക്കൽ പരീക്ഷണങ്ങൾക്ക് കോശങ്ങൾ അത്യാവശ്യമാണ്. അതിനാൽ, ജോർജ് ഗായും അയാളെപ്പോലുള്ള ധാരാളം ജീവശാസ്തജ്ഞരും വളരെക്കാലമായി കോശങ്ങൾ കൾച്ചർ ചെയ്തു വളർത്താൻ ശ്രമിക്കുന്നുണ്ടായിരുന്നു. ചില പരീക്ഷണങ്ങൾ വിജയിച്ചിരുന്നുവെങ്കിലും കോശങ്ങൾ വളർന്ന് കൂടുതലാവുന്ന തോത് മെല്ലെ ആയിരുന്നു. എന്നാൽ ഹെൻറീറ്റയുടെ ട്യൂമർ കോശങ്ങൾ അവിശ്വസനീയമായ തോതിലാണ് വർധിച്ചത്. അവ ഓരോ സെക്കന്റിലും ഇരട്ടിഎണ്ണമായി വിഭജിച്ച് വളർന്നു.
അക്കാലത്ത് അമേരിക്കയിൽ ജീവനുള്ള ഒരാളുടെ ശരീരത്തിൽ നിന്ന് ഏതെങ്കിലും ചെറിയ ഭാഗം മുറിച്ച് നീക്കാനോ, അത് പിന്നീട് ഗവേഷണത്തിനായി ഉപയോഗിക്കാനോ നിയമ തടസ്സങ്ങൾ ഒന്നും ഇല്ലായിരുന്നു. രോഗിയുടെ അനുമതി പോലും അതിന് മുറിച്ച് നീക്കി ഉപയോഗിക്കാൻ ആവശ്യമില്ലായിരുന്നു. (ഇപ്പോഴും ആ സ്ഥിതി മാറിയിട്ടൊന്നുമില്ല, പക്ഷേ വലിയ ചർച്ചകൾ നടക്കുന്നുണ്ട്). എന്നാൽ ഒരാൾ മരിച്ചു കഴിഞ്ഞാൽ ഓട്ടോപ്സി (പോസ്റ്റ്മോർട്ടം) ചെയ്യാൻ ആ വ്യക്തിയുടെ അടുത്ത ബന്ധുക്കളുടെ സമ്മതം ആവശ്യമായിരുന്നു.
1951 ഒക്ടോബർ 4ന് ഹെൻറീറ്റ ലാക്സ് മരിച്ചു എന്നറിഞ്ഞപ്പോൾ ജോർജ് ഗായ് അവരുടെ ശരീരം ഓട്ടോപ്സി ചെയ്യാനായി ഹെൻറീറ്റ യുടെ ഭർത്താവ് ഡേവിഡ് ലാക്സിനോട് സമ്മതം ആവശ്യപ്പെട്ടു. ആദ്യം വിസമ്മതിച്ചെങ്കിലും പിന്നീടയാൾ സമ്മതം നൽകി. അങ്ങനെ ഓട്ടോപ്സിയുടെ പേരിൽ ഹെൻറീറ്റയുടെ ശരീരത്തിലെ എല്ലാ അവയവങ്ങളുടെയും സാമ്പിളുകൾ അവർ മുറിച്ചെടുത്തു. അവയൊക്കെ ഗായുടെ ലാബിൽ അതിവേഗത്തിൽ വളർന്ന് വിഭജിച്ച് പെരുകി. ഈ കോശങ്ങൾ പിന്നീട് ഹേലാ കോശങ്ങൾ എന്നറിയപ്പെട്ടു.
ഹേലാ ഫാക്ടറി
1951ന്റെ അവസാനകാലത്ത് യൂറോപ്പിലും അമേരിക്കയിലും പോളിയോ പകർച്ചവ്യാധി പൊട്ടിപ്പുറപ്പെട്ടു. അതിനൊരു വാക്സിൻ കണ്ടെത്താനുള്ള ശ്രമത്തിലായിരുന്നു മെഡിക്കൽ ശാസ്ത്രജ്ഞർ. പിറ്റസ്ബർഗ് സർവകലാശാലയിലെ ജോനാസ് സാൽക് (Jonas Salk) വികസിപ്പിച്ചെടുത്ത ഒരു വാക്സിൻ പരീക്ഷിക്കുവാൻ ജീവനുള്ള കോശങ്ങൾ ആവശ്യമായിരുന്നു. ആ സമയത്താണ് ജോർജ് ഗായിയുടെ ലാബിൽ നിമിഷങ്ങൾകൊണ്ട് വിഭജിച്ച് വളരുന്ന കോശത്തെക്കുറിച്ച് നാഷണൽ ഫൗണ്ടേഷൻ ഫോർ ഇൻഫാൻടൈൽ പാരാലിസിസ് (National Foundation for Infantile Paralysis NFIP) ലെ ഗവേഷകർ അറിയുന്നത്. അവർ ജോർജ് ഗായുമായി ബന്ധപ്പെടുകയും വൻതോതിൽ ഹേലാ കോശങ്ങൾ ഉല്പാദിപ്പിക്കുന്ന ഒരു സംരംഭം ടസ്കേഗീ സർവകലാശാലയിൽ തുടങ്ങുകയും ചെയ്തു. ടസ്കേഗീ യിൽ ഇത് തുടങ്ങാനുള്ള കാരണം, ആ സർവകലാശാല മുഖ്യമായും കറുത്ത വർഗക്കാർ പഠിക്കുന്നതാണ് എന്നതും ഈ പ്രൊജക്ട് സർവകലാശാലയ്ക്ക് ധാരാളം ഫണ്ട് കൊണ്ടുവരുമെന്നതുമാണ്. മാസങ്ങൾക്കുള്ളിൽ ആറ് ആഫ്രോ-‐അമേരിക്കൻ ശാസ്ത്രജ്ഞരുടെ നേതൃത്വത്തിൽ അവിടെ ഒരു അത്യാധുനിക ലബോറട്ടറി സ്ഥാപിതമായി. അതിനെയാണ് റെബേക്ക സ്കളൂട്ട് “ഹേലാ ഫാക്ടറി’ എന്ന് വിളിച്ചത്. (റെബേക്ക സ്കളൂട്ട് – കുറിപ്പ് കാണുക). അതേസമയം NFIP പത്രമാധ്യമങ്ങളിൽ കൂടി ഇതിനു വേണ്ടത്ര പബ്ലിസിറ്റി നൽകുകയും ചെയ്തു. ഉദാഹരണമായി, ന്യൂയോർക്ക് ടൈംസ് മൈക്രോസ്കോപ്പിൽ നോക്കിക്കൊണ്ടിരിക്കുന്ന കറുത്ത സ്ത്രീകളുടെയും, കറുത്ത കൈകളിൽ ഉയർത്തിപ്പിടിച്ച ടെസ്റ്റ്-ട്യൂബുകളുടെയും ചിത്രങ്ങളോടൊപ്പം താഴെ കൊടുത്തിരിക്കുന്നത് പോലുള്ള വാർത്ത പ്രചരിപ്പിച്ചു: UNIT AT TUSKEGEE HELPS POLIO FIGHT Corps of Negro Scientists Has Key Role in Evaluating of Dr. Salk’s Vaccine HELA CELLS ARE GROWN കറുത്തവർക്ക് അർഹമായ സ്ഥാനം നൽകുന്നുവെന്ന് കാണിക്കാനാകുമോ ഇങ്ങനെ ചെയ്തത്? അതിന്റെ കാരണം അജ്ഞാതമാണ്. ടസ്കേഗീയിൽ ഏകദേശം മുപ്പത്തിയഞ്ചോളം ഗവേഷകരും ടെക്നീഷ്യരും ചേർന്ന് ആഴ്ചയിൽ ആറ് ലക്ഷം കോടി (6 trillion) ഹേലാ കോശങ്ങളാണ് ഉണ്ടാക്കിയത്. പരീക്ഷണങ്ങൾക്കായി ഇത് അമേരിക്കയുടെ എല്ലാ ഭാഗങ്ങളിലും എത്തിച്ചു. അവ കൂടാതെ ജോർജ് ഗായ് തന്നെ ആവശ്യപ്പെട്ടവർക്കൊക്കെ പ്രതിഫലം വാങ്ങാതെ ഹേലാ കോശങ്ങൾ എത്തിച്ചുകൊടുക്കുകയും അവ കൂടുതൽ ഉണ്ടാക്കാനുള്ള കൾച്ചർ നിർമ്മിക്കുവാനുള്ള രീതികൈമാറുകയും ചെയ്തിരുന്നു.
ഹേലാ കോശങ്ങളുടെ സ്റ്റാൻഡേർഡൈസേഷൻ
പോളിയോ വാക്സിൻ നിർമ്മിക്കലായിരുന്നു ഈ ഗവേഷണത്തിന്റെ ലക്ഷ്യമെങ്കിലും, മറ്റേത് ശാസ്ത്രഗവേഷണവും പോലെ, ഹേലാ കോശങ്ങൾക്കും വേറെ പലവിധ ഉപയോഗങ്ങളും കണ്ടെത്തി. എങ്കിലും ഹേലാ കോശ ഗവേഷണത്തിൽ, ശാസ്ത്രഗവേഷണത്തിലെ ഒരു മുഖ്യ രീതിയായ സ്റ്റാൻഡേർഡൈസേഷൻ (അടിസ്ഥാന മാതൃകക്ക് അനുസൃതമാക്കുന്ന രീതി) അപ്പോഴും ഉണ്ടായിരുന്നില്ല. അതായത് ലോകമെങ്ങും നൽകുന്ന ഹേലാ കോശങ്ങൾ ഒരൊറ്റ കോശത്തിൽനിന്നുമാത്രം ഉണ്ടാക്കിയതായിരുന്നാൽ മാത്രമേ അതുപയോഗിച്ച് ഉണ്ടാക്കിയ വാക്സിനും മറ്റ് മരുന്നുകളും ഒരേപോലെ രോഗങ്ങളോട് പ്രതികരിക്കൂവെന്ന് തീർച്ചയാക്കാനാവൂ. ജോർജ് ഗായിയുടെ ലാബിൽ ഹെൻറീറ്റയുടെ കാൻസർ ബാധിതമായിരുന്ന സെർവിക്സ്ന്റെ ഒരു കഷണത്തിലെ പല കോശങ്ങളിൽ നിന്നാണല്ലോ കൂടുതൽ കോശങ്ങൾ ഉണ്ടാക്കിയിരുന്നത്? അതിനാൽ അവയിൽ നിന്ന് ഉത്പാദിപ്പിച്ച കോശങ്ങളും പരസ്പരം വ്യത്യസ്തമായിരിക്കും.
നാഷണൽ ഇൻസ്റ്റിറ്റ്യൂട്ട് ഓഫ് ഹെൽത്ത് (NIH) ലെ ഒരു ശാസ്ത്രജ്ഞൻ ഹേലാ കോശങ്ങൾ ഉപയോഗിച്ച് ലക്ഷക്കണക്കിന് ലിറ്റർ കൾച്ചർ മീഡിയം ഉണ്ടാക്കാനുള്ള വഴികൾ കണ്ടെത്തി. ജോർജ് ഗായിയും സഹപ്രവർത്തകരും കോശങ്ങൾ നശിച്ചുപോവാതെ ദീർഘ സമയം നിലനിൽക്കാൻ ആവശ്യമായ ഗ്ലാസ് ടെസ്റ്റ്-ട്യൂബുകളും അടപ്പുകളും മറ്റുമുണ്ടാക്കാൻ ശ്രമിച്ച് വിജയിച്ചു. കൊളോറാഡോവിലെ ഒരുസംഘം ശാസ്ത്രജ്ഞർ ഒരൊറ്റ ഹേലാ കോശത്തിൽ നിന്നും പരശ്ശതം കോശങ്ങൾ ക്ലോൺ ചെയ്ത് ഉണ്ടാക്കി. ഈ ഒരു കോശത്തിന്റെ ക്ലോൺ ആണ് പിന്നീട് മെഡിക്കൽ ഗവേഷണങ്ങൾക്ക് ഉപയോഗിച്ചത്.
കച്ചവടം തുടങ്ങുന്നു:
സാമുവേൽ റീഡർ, മൺറോ വിൻസെന്റ് എന്നിവർ ചേർന്ന് ഉണ്ടാക്കിയ ഒരു കമ്പനിയാണ് മൈക്രോബയോളോജിക്കൽ അസ്സോസിയേറ്റ്സ് ( Microbiological Associates). മിലിട്ടറിയിൽ നിന്നും പിരിഞ്ഞ സാമുവേൽ റീഡർക്ക് സയൻസിന്റെ കാ മാ അറിയുമായിരുന്നില്ല. പക്ഷേ വിൻസെന്റ് മാർക്കറ്റിൽ കോശങ്ങൾക്കുള്ള ഡിമാൻഡ് നന്നായി അറിയുന്ന ആളായിരുന്നു. അവർ മേരിലാൻഡിൽ മറ്റൊരു ഹേലാ ഫാക്ടറി തുടങ്ങി. മാത്രമല്ല വിമാന കമ്പനികളുമായും കൊറിയർ കമ്പനികളുമായും ബന്ധമുണ്ടാക്കി, ആവശ്യക്കാർക്ക് പെട്ടന്നുതന്നെ ഹേലാ കോശങ്ങൾ എത്തിച്ച് കൊടുക്കുന്ന ഒരു രീതി ഉണ്ടാക്കിയെടുത്തു. അങ്ങനെ മനുഷ്യ കോശങ്ങൾ പൈസക്ക് വിൽക്കുന്ന ആദ്യത്തെ ശത-കോടി ഡോളർ ബിസിനസ് ആരംഭിച്ചു.
അവരുടെ ബിസിനസ് ഉയരുന്നതിനനുസരിച്ച് ടസ്കേഗീ സർവകലാശാലയുടെ കോശങ്ങൾക്കുള്ള ഡിമാൻഡ് കുറയുകയും ക്രമേണ NFIP ടസ്കേഗീയിലെ “ഹേലാ ഫാക്ടറി’ അടച്ചുപൂട്ടുകയും ചെയ്തു. പകരം അവർ മൈക്രോബയോളോജിക്കൽസിൽ നിന്നും പൈസ കൊടുത്ത് ഹേലാ കോശങ്ങൾ വാങ്ങി! പക്ഷെ ഹേലാ കോശങ്ങൾക്കുള്ള പ്രാധാന്യവും കച്ചവട സാധ്യതകളും മണത്തറിഞ്ഞ മറ്റ് കമ്പനികളും രംഗത്തെത്തിയിരുന്നു. അങ്ങനെയുള്ള ഒരു കമ്പനിയാണ് തെർമോ ഫിഷർ സയന്റിഫിക്.
അവരോട് ഏറ്റുമുട്ടിയാണ് ലാക്സ് കുടുംബം ഇപ്പോൾ വിജയിച്ചിരിക്കുന്നത്. ഹേലാ കോശങ്ങൾ നേരിട്ട് വിറ്റോ , അവ ഉപയോഗിച്ച് ഗവേഷണങ്ങൾ നടത്തി മരുന്നുകൾ ഉണ്ടാക്കിയോ ലാഭം കൊയ്ത ബയോടെക് കമ്പനികൾ നൂറുകണക്കിനാണ്. അന്താരാഷ്ട്ര മെഡിക്കൽ കോർപ്പറേറ്റുകളായ നൊവാർട്ടീസ്, വിയാട്രിസ് എന്നിവയാണ് ഇന്ത്യയിൽ കോശങ്ങളോ മരുന്നുകളോ വിറ്റ് ലാഭം കൊയ്തവർ. ലാക്സ് കുടുംബവും അവരുടെ വക്കീലന്മാരും ഈ കമ്പനികളെയെല്ലാം കോടതി കയറ്റുമെന്ന് പറയുന്നുണ്ട്.
മൈക്രോബയോളോജിക്കൽ അസ്സോസിയേറ്റ്സ് ഒരു ടെസ്റ്റ്-ട്യൂബ് ഹേലാ കോശങ്ങൾക്ക് 10,000 ഡോളർ വരെ ചാർജ് ചെയ്തിട്ടുണ്ട്. അവർ വിറ്റഴിച്ച ട്യൂബുകൾക്ക് എണ്ണം തന്നെയില്ല, അത്ര അധികമാണ്. മറ്റൊരു എൻ.ജി.ഒ ആയ അമേരിക്കൻ ടൈപ്പ് കൾച്ചർ കലക്ഷൻ ഒരു ട്യൂബിന് 256 ഡോളർ ചാർജ് ചെയ്തിരുന്നു. മറ്റ് പല കമ്പനികളും അവരുടെ ഒരു ടെസ്റ്റ്ട്യൂബ് ഹേലാ കോശങ്ങളുടെ വിലയോ അതിൽ നിന്ന് അവരുണ്ടാക്കിയ വരുമാനമോ പറയാൻ വിസമ്മതിക്കുകയാണ്.
മൈക്രോബയോളോജിക്കൽ അസ്സോസിയേറ്റ്സ് പിന്നീട് ഇൻവിട്രോജൻ , ബയോ-വിറ്റാക്കർ എന്നീ കമ്പനികളുടെ ഭാഗമായി, വില്പന തുടർന്നിരുന്നു. അവ രണ്ടും ലോകത്തിലെ ഏറ്റവും വലിയ രണ്ട് ബയോടെക് കമ്പനികളാണ്.
ഹെൻറീറ്റ ലാക്സ് കുടുംബം കോടതിയിൽ

2013 ൽ അമേരിക്കയിൽ കറുത്തവരുടെ ജീവനും പ്രധാനമാണ് (Black Lives Matter) എന്ന പേരിൽ ഒരു പ്രസ്ഥാനം തുടങ്ങി. (ബോക്സ് കാണുക). അതിൽ നിന്നും പ്രചോദനവും ആത്മവിശ്വാസവും ഉൾക്കൊണ്ടാണ് ഹെൻറീറ്റ ലാക്സിന്റെ ജീവിച്ചിരിപ്പുള്ള മൂന്ന് മക്കൾ അവരുടെ അമ്മയോട് ചെയ്ത തെറ്റിന് പരിഹാരം കാണണമെന്ന ആവശ്യവുമായി അമേരിക്കൻ നാഷണൽ ഇൻസ്റ്റിിറ്റ്യൂട്ട് ഓഫ് ഹെൽത്തിനെയും പിന്നീട് കോടതിയെയും സമീപിക്കുന്നത്. 2013 മാർച്ചിൽ യൂറോപ്യൻ മോളിക്യൂലാർ ബയോളജി ലബോറട്ടറി (EMBL) ഹേലാ കോശങ്ങളുടെ ജീനോം പബ്ലിഷ് ചെയ്തിരുന്നു. എന്നാൽ വലിയ എതിർപ്പുകളും ലാക്സ് കുടുംബത്തിന്റെ സമ്മതമില്ലായ്മയും കാരണം അത് പിൻവലിക്കുകയായിരുന്നു. പിന്നീട് അവരുടെ കുടുംബവും അമേരിക്കൻ നാഷണൽ ഇൻസ്റ്റിിറ്റ്യൂട്ട് ഓഫ് ഹെൽത്തും തമ്മിലുള്ള ഒത്തുതീർപ്പിന്റെ ഭാഗമായി വേറൊരു ഹേലാ കോശത്തിന്റെ ജിനോം പബ്ലിഷ് ചെയ്തിരുന്നു.
ഇത്രയൊക്കെയായിട്ടും ബയോടെക്ക് ഭീമന്മാരെ നേരിടാൻ 2021 ലേ അവർക്ക് ധൈര്യം വന്നുള്ളൂ.
ഹെൻറീറ്റ ലാക്സ് മരിച്ച് എഴുപത്തി രണ്ട് വർഷങ്ങൾക്കുശേഷമാണ് അവരുടെ കുടുംബം കോടതിയിൽ തെർമോ ഫിഷർ സയന്റിഫിക് എന്ന കമ്പനിയുമായി ഒത്തുതീർപ്പാവുന്നത്. ക്രിസ് സീഗർ, ബെൻ ക്രമ്പ് എന്നീ നിയമ വിദഗ്ധരാണ് ഹെൻറീറ്റ ലാക്സ് കുടുംബത്തിനുവേണ്ടി കേസ് വാദിച്ചത്. “ഹെൻറീറ്റ ലാക്സിന്റെ കട്ടെടുത്ത കോശങ്ങൾ വിറ്റ് ലാഭമുണ്ടാക്കി, അതിനുള്ള നഷ്ടപരിഹാരം നൽകണം’ എന്നതായിരുന്നു അവർ തെർമോ ഫിഷർ സയന്റിഫിക് കമ്പനിക്ക് എതിരെ കോടതിയിൽ ആവശ്യപ്പെട്ടത്.
അവരുടെ വാദം ഇപ്രകാരമായിരുന്നു: “ഹെൻറീറ്റ ലാക്സിന്റെ കോശങ്ങൾ എടുത്തത് (കട്ടെടുത്തത്) നൈതികതയില്ലായ്മ്മയും തെറ്റുമാണെന്ന് ഇക്കാലത്ത് പൊതുവെ എല്ലാവരും സമ്മതിക്കുന്നുണ്ട്. അങ്ങനെയായിട്ടും ലോകത്തിലെ ഒരു വലിയ ബയോടെക് കമ്പനി -തെർമോ ഫിഷർ സയന്റിഫിക് – ലാഭത്തിനായി ലാക്സിന്റെ ശരീര കോശങ്ങൾ ലാക്സ് കുടുംബത്തിന്റെ സമ്മതമില്ലാതെ വലിയതോതിൽ ഉല്പാദിപ്പിച്ച് വിൽക്കുന്നുണ്ട്. തെർമോ ഫിഷർ സയന്റിഫിക് ഹേലാ കോശങ്ങൾ വിറ്റ് ശതകോടികൾ ഉണ്ടാക്കിയിട്ടുണ്ട്. അതേസമയം ലാക്സ് കുടുംബത്തിന്ന് “ഒരു നയാപൈസ’ പോലും നൽകിയിട്ടുമില്ല.
ഹെൻറീറ്റയുടെ കോശങ്ങൾ അവരുടെ ശരീരത്തിൽ നിന്ന് മാറ്റിയിട്ട് അമേരിക്കൻ നിയമം അനുശാസിക്കുന്ന കാലം കഴിഞ്ഞെന്ന് (statute of limitations had expired) വാദിച്ച് തെർമോ ഫിഷർ സയന്റിഫിക് കേസ് തള്ളിക്കളയാൻ കോടതിയോട് ആവശ്യപ്പെട്ടെങ്കിലും ആ കമ്പനി ഇപ്പോഴും ഹേലാ കോശങ്ങൾ ഉണ്ടാക്കി വിറ്റ് വലിയ ലാഭം കൊയ്യുന്നുണ്ടെന്ന് ചൂണ്ടിക്കാണിച്ചപ്പോൾ കോടതി അവരുടെ ആവശ്യം തള്ളിക്കളയുകയായിരുന്നു.
2023ൽ തെർമോ ഫിഷർ സയന്റിഫിക് കമ്പനിയും ലാക്സ് കുടുംബത്തിന്റെ അഭിഭാഷകരും കോടതിയിൽ ഒരു ഒത്തുതീർപ്പിലെത്തി. പക്ഷേ അതിലെ വിവരങ്ങളിപ്പോഴും പുറത്തു വിട്ടിട്ടില്ല. കേസ് ഒത്തുതീർപ്പായി അടുത്ത മാസം ഹെൻറീറ്റയുടെ ജീവിച്ചിരിപ്പുണ്ടായിരുന്ന ഏക മകൻ, ഏറ്റവും മൂത്ത മകൻ ലോറൻസ് അന്തരിച്ചു. പക്ഷേ, ഹെൻറീറ്റയുടെ കൊച്ചുമക്കൾ മറ്റ് കേസുകളുമായി മുന്നോട്ടുപോകും എന്നറിയുന്നു.
ഹെൻറീറ്റ ലാക്സിന്റെ കേസ് നടക്കവേ ജോൺ ഹോപ്കിൻസ് ആശുപത്രി ഒരു പ്രസ്താവന ഇറക്കിയിരുന്നു. അതിൽ വാസ്തവികത ഉണ്ടുതാനും. ഹെൻറീറ്റയുടെ ശരീരഭാഗങ്ങൾ മുറിച്ചെടുത്ത ആശുപത്രി അധികൃതരോ, ആശുപത്രിയോ, അതിലെ കോശങ്ങൾ വളർത്തിയെടുത്ത ജോർജ് ഗായിയോ ഹേലാ കോശങ്ങളിൽ നിന്നും ഒരു പൈസയും ഉണ്ടാക്കിയിട്ടില്ല എന്നായിരുന്നു ആ പ്രസ്താവന. അത് സത്യമാണ്. ജോർജ് ഗായിയും ഭാര്യ മാർഗരറ്റും ജീവിതാവസാനം വരെ കഷ്ടപ്പെട്ടാണ് ജീവിച്ചത്. ആശുപത്രി അദ്ദേഹത്തിന് പിൽക്കാലത്ത് നല്ലൊരു ശമ്പളം നല്കിയിരുന്നില്ലെങ്കിൽ അവർ ദരിദ്രരായി മരിച്ചേനെ.
മുക്കാൽ നൂറ്റാണ്ടിനു ശേഷമാണെങ്കിലും ഈ കേസ് അമേരിക്കയിൽ ആരുടെയെങ്കിലും ശരീര ഭാഗങ്ങളോ കോശങ്ങളോ എന്ത് ആവശ്യത്തിനായാലും എടുക്കുമ്പോൾ സമ്മതം ആവശ്യമല്ലേ എന്ന ചർച്ചകൾക്ക് തുടക്കമിട്ടിട്ടുണ്ട്. അത് ലോക വ്യാപകമായ ചർച്ചകളിലേക്ക് നീങ്ങുമെന്ന് പ്രതീക്ഷിക്കാം. ഈ കേസിന്റെ മറ്റൊരു വശം, പാർശ്വവൽക്കരിക്കപ്പെട്ടവർക്ക് വേണ്ടി ശബ്ദമുയർത്താൻ ധാരാളം പേർ മുന്നോട്ടുവന്നു എന്നതാണ്. റെബേക്ക സ്ക്ളൂട്ടിന്റെ പുസ്തകം അതൊക്കെ ചർച്ചചെയ്യുന്നുണ്ട്. വിസ്താരഭയത്താൽ അതിവിടെ കൊടുക്കുന്നില്ല. ഏറ്റവും പ്രധാനം വർണ്ണ /ജാതി/മത വിവേചനം മനുഷ്യരുടെ ശരീരഭാഗങ്ങൾ/കോശങ്ങൾ ഉപയോഗിച്ചുള്ള ഗവേഷണത്തെ എങ്ങനെ ബാധിക്കുന്നു എന്നതിലേക്കും ഈ കേസ് വിരൽ ചൂണ്ടുന്നു എന്നതാണ്. ഹെൻറീറ്റയുടെ ശരീരത്തിലെ എല്ലാ അവയവങ്ങളുടെയും സാമ്പിൾ ജോൺ ഹോപ്കിൻസ് ആശുപത്രി ശേഖരിച്ചിരുന്നുവല്ലോ? അതുപയോഗിച്ച് കോടാനുകോടി ഡോളർ സമ്പാദിച്ചവരുടെ വാദം, അക്കാലത്ത് “സമ്മതപത്രത്തിന്റെ ആവശ്യ’മില്ലായിരുന്നു എന്നതാണ്! ധാർമികതയോ നൈതികതയോ അവർക്ക് പ്രശ്നമല്ലായിരുന്നു, അല്ലങ്കിൽ അവ, അവർക്കില്ലായിരുന്നു. അതാണല്ലോ മുതലാളിത്തത്തിന്റെ മുഖമുദ്രയും? അവരെയൊക്കെ സത്യത്തിനും നീതിക്കും മുന്നിൽ എത്തിക്കുന്ന കാലം അത്ര ദൂരെയല്ല.
കുറിപ്പ്: 1.
ഹെൻറീറ്റ ലാക്സിന്റെ കഥ പുറത്തുകൊണ്ടുവരുന്നതിൽ അനന്യമായ പങ്കുവഹിച്ച വെള്ളക്കാരിയായ അമേരിക്കൻ യുവതിയാണ് റെബേക്ക സ്കളൂട്ട്. അവർ എഴുതിയ “ദ ഇമ്മോർട്ടൽ ലൈഫ് ഓഫ് ഹെൻറീറ്റ ലാക്സ്’ ( The Immortal Life of Henrieta Lacks) എന്ന പുസ്തകം ലോക പ്രസിദ്ധമാണ്. ഈ ലേഖനത്തിലെ പല വസ്തുതകൾക്കും അടിസ്ഥാനം സ്ക്ളൂട്ടിന്റെ ആ പുസ്തകമാണ്. l
| കറുത്തവരുടെ ജീവനും പ്രധാനമാണ് (Black Lives Matter) 2012 ൽ തന്റെ അച്ഛനെ കാണാൻ പോവുകയായിരുന്ന ട്രാവയോൺ മാർട്ടിൻ (17 വയസ്സ്) എന്ന കുട്ടിയെ ഒരു വെളുത്ത പൊലീസുകാരൻ വെടിവെച്ചുകൊന്നു. പിന്നീട് ആ പോലീസുകാരനെ വെറുതെവിട്ടു. ആ സംഭവമാണ് “കറുത്തവരുടെ ജീവനും പ്രധാനമാണ് (Black Lives Matter)’ എന്ന പ്രസ്ഥാനത്തിന്റെ തുടക്കത്തിനു കാരണം. അലീഷ്യ ഗാർസ, പാട്രീസ് കുള്ളേർസ്, ഓപൽ ടോമേറ്റി എന്നിവരാണ് അതിന്റെ സ്ഥാപകർ. കറുത്തവരുടെ അവകാശങ്ങളും സുരക്ഷയും ഉറപ്പുവരുത്തുക, വർണവെറിയെയും വെള്ളക്കാരുടെ മേധാവിത്ത്വത്തെയും ഇല്ലാതാക്കുക, കറുത്തവർക്ക് ഭൗതികമായും സാംസ്കാരികമായും ഇടം ഉണ്ടാക്കിയെടുക്കുക എന്നിവയൊക്കെയാണ് ബ്ലാക്ക് ലൈവ്സ് മാറ്ററിന്റെ ലക്ഷ്യം. 2014ൽ മിസ്സോറിയിൽ പൊലീസ് മൈക്കിൾ ബ്രൗണി (18 വയസ്സ്) നെ വെടിവെച്ച് കൊന്നതും, ന്യൂയോർക്കിൽ എറിക് ഗാർഡ്നറെ (43 വയസ്സ്) പൊലീസ് ശ്വാസം മുട്ടിച്ച് കൊന്നതും ബ്ലാക്ക് ലൈവ്സ് മാറ്ററിന്റെ പ്രവർത്തനങ്ങൾക്ക് ആക്കം കൂട്ടുകയും അത് ഒരു പ്രസ്ഥാനമായി വളരാൻ സഹായിക്കുകയും ചെയ്തു. ഇപ്പോൾ അമേരിക്ക, കാനഡ, ബ്രിട്ടൻ എന്നിവിടങ്ങളിൽ ബ്ലാക്ക് ലൈവ്സ് മാറ്റർ മൂവ്മെന്റ് സജീവമാണ്. |





